Konzerváló fogászat
A fogak állapotát rögzítő, "konzerváló" kezelések célja az állapot megőrzése, az egyes fogak restaurációja, a további romlás megállítása. Az eljárásaink során az esztétika, a tartósság és a tökéletes higiénia az elsődleges szempontok. Minden általunk alkalmazott anyag és eljárás a fentebb említettek maximális figyelembevételével történik. A fogak további szuvasodását hosszú távon csak a tökéletesen kivitelezett munkával lehet megakadályozni.
- Tömések
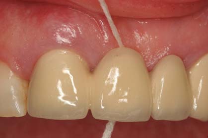
- Kerámia betét (E-max inlay)
Nagy keménységű kerámiából, nagy precizitással elkészülő tömések, amelyek minden fentebb említett szempontot tökéletesen kielégítenek. Anyaguk miatt mind színükben mind fényáteresztő képességükben a legtökéletesebben utánozzák az egészséges fogat. A szájüregben előforduló mechanikai és kémiai hatásoknak teljes mértékben ellenáll, ezért akár egész életen át való tartósságot biztosít. Orvosaink technikusainkkal együttműködve minden esetben egyénileg, maximális precizitással készítik el. Ennek köszönhető pontosságuk, ami a kifogástalan tisztaságot garantálja későbbiekben a szájüregben. - Arany betét (inlay)
Nagy pontosságú, több évszázada használt tömés. Általában kerámiával leplezzük az arany olyan felületeit, amelyek látható területen vannak. Legendás tartósságukat az alapanyaguk nagyfokú semlegességének köszönheti. - Kompozit tömés
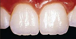
A front fogak restaurációjához ideális. A széles színkínálat, illetve ezek megfelelő variálása esetenként egy üregen belül is, és a jó fényáteresztő képessége ad lehetőséget a tökéletes eredmény elérésére. Rágófogakban is alkalmazzuk kisebb üregekben történő beavatkozásoknál.
- Kerámia betét (E-max inlay)
- Gyökérkezelés
A gyökérkezelés a gyökércsatornák megmunkálásából és gyökértöméséből, majd a fog koronai részének helyreállításából áll. Több ok miatt is lehet a gyökértömést választani a fog megmentése céljából.Ilyen ok, amikor a szuvasság eléri a fogon belül a pulpa (fogbél) üregét. Emellett érheti olyan trauma a fogat, ami érinti a pulpát, de esetleg hő, illetve kémiai behatás miatt is keletkezett olyan mértékű károsodás, amely megkövetelheti ezt a beavatkozást.
Első lépésben mindig röntgen segítségével tájékozódunk az adott gyökér vagy gyökerek anatómiai adottságairól. Ha ennek alapján kivitelezhetőnek látszik a tökéletes gyökértömés elkészítése, akkor kezdünk neki a beavatkozásnak.
A csatorna, vagy csatornák föltárása elektromos munkahossz meghatározó műszer segítségével történik rendelőnkben, amely segíti az eseteleges későbbi komplikációk megelőzését.
Következő lépésekben a csatornákat mind mechanikailag, mind kémiailag megmunkáljuk, majd tökéletes szárítás után történik meg a teljesen hermetikus és csúcsig érő gyökértömés elkészítése.
A folyamat egészénél a higiéniás szabályok betartása alapvető követelmény, akár egy, akár több alkalmas kezelésről van szó. Ez alatt azt értjük, hogy kínosan ügyelünk a megmunkált csatorna tisztaságára, távol tartjuk bármiféle szennyeződéstől (pl. nyál).
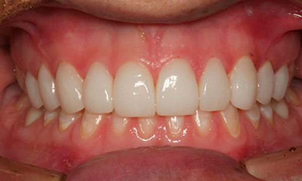
Fogpótlás
Egy vagy több fog hiányának helyettesítése mind esztétikai, mind funkcionális (rágás, beszéd) szempontból. Az esztétika, higiénia és tartósság itt is alapkövetelmény. Nagyon eltérő típusú hiányok lehetnek, nagyon különböző páciensekben. A lehetséges megoldásokat mindig az egyén igényeinek és a foghiány típusának megfelelően kell megválasztani. Gyakran ugyanaz a probléma több variáció szerint is orvosolható! A tökéletes kommunikáció az orvos, a beteg és a technikus között ezeknél a munkáknál a legfontosabb. Rendelőnkben és a fogtechnikai munkafázisoknál is ezért fektetünk rendkívül sok energiát és időt pácienseink teljes körű, minden részletre kiterjedő tájékoztatására, mint például az elkészült pótlások tisztítására szolgáló legújabb higiéniás technikák és eszközök alkalmazása a megváltozott szájüregi viszonyok miatt.
- Fix/Rögzített fogpótlások
Olyan megoldások, melyek véglegesen rögzülnek a paciensek szájában, emiatt szinte a testrészükké lesz, viselésük teljesen természetessé válik. Lehetőleg ezt választjuk mindig a hiány megoldása céljából. Alapjukat a meglévő fogak, gyökérkezelésen átesett foggyökerek adják, vagy ezek hiányában fogászati implantátumok.
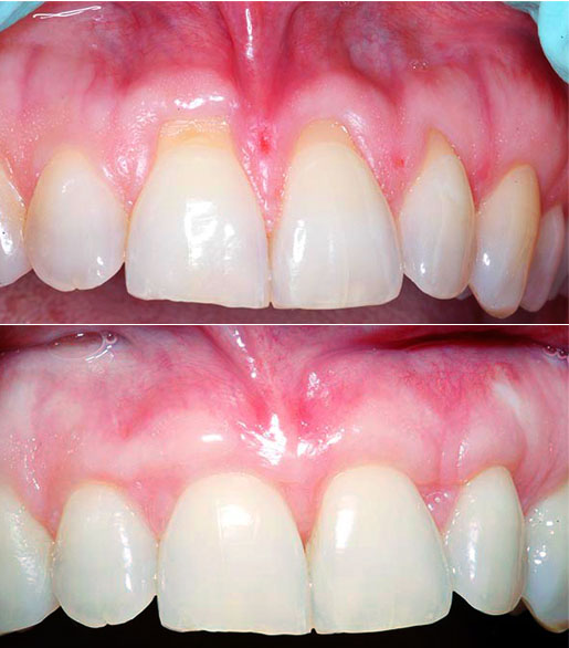
- Cirkónium vázú koronák-hidak
Fémmentes pótlás, hiszen a cirkónium-dioxid egy kerámia. Alapvető tulajdonságai ideálissá teszik fogászati felhasználásra. Mint általában a kerámiák, ellenáll a savaknak, nem korrodálódik, színe a fog színéhez nagyon hasonlít. Keménysége hihetetlen magas, ami alkalmassá teszi a leplező kerámia tökéletes megtartására. Mind esztétikailag, mind funkcióját tekintve az egyik legoptimálisabb megoldás. - E-max koronák
Szintén fémmentes pótlás. Ebben az esetben viszont nem egy alap vázra készül a leplezés, hanem a korona egésze egy fajta kerámiából áll. Az esztétikai eredmény a lehető legjobb, amit ma a fogászatban el tudunk érni, de keménysége kisebb, mint a cirkóniumnak, ezért inkább csak szóló koronákat készítünk ebből az anyagból. - Fém-kerámia koronák-hidak
Alapvázát egy nikkelmentes fémötvözet alkotja, amit porcelánnal leplezünk. Az esztétikailag nem hangsúlyos területek ideális pótlása. A rágás közben keletkező erők elleni kitartása kitűnő. Elkészítése lényegesen egyszerűbb technológiát igényel, ennek köszönhetően ára is sokkal alacsonyabb, mint a fémmentes pótlásoké. - Csapos műcsonkok
A pillérfog koronai részének súlyos hiánya miatt szoktuk alkalmazni. Két részből áll, a csapból és a műcsonkból. A csap része kerül a gyökérkezelésen átesett fog gyökércsatornájába, melyet cementtel beragasztunk. A csapos műcsonk szájüreg felőli része a műcsonk, ez fogja az alapját képezni a rákerülő koronának vagy hídnak.- Cirkónium csapok
Nagyon kedvező színe miatt szoktuk rendszerint front fogaknál alkalmazni, cirkónium vázas illetve E-max koronáknál.
- Fém csapok
Fém-kerámia hidak és koronák alapjául használjuk. Nikkelmentes anyagú, könnyen megmunkálható pótlás.
- Cirkónium csapok
- Cirkónium vázú koronák-hidak
- Kivehető fogpótlások
Ha nincs elegendő számú és helyzetű pillérként használható fog vagy foggyökér a szájüregben, akkor ideális választás lehet. Előnye a gyors elkészítés, a viszonylag egyszerű technológia és a kedvező árfekvés. A pótlás eltávolíthatósága nagyon megkönnyíti tisztíthatóságát. Az átlagéletkor jelentős megnövekedése, és a nem megfelelő szájhigiéniás oktatás miatt egyre többször kerülünk olyan helyzetbe, amikor a fenti feltételek csak ezt a megoldási lehetőséget teszik lehetővé számunkra.
- Teljes fogpótlás (protézis)
Totális foghiány estében alkalmazzuk. A pótolt műfogakat műínybe ágyazza be a technikus. A nyálkahártyához való tökéletes tapadás érdekében a nagyfokú pontosság elengedhetetlen. - Részleges fogpótlás (protézis)
Azokra a hiányokra lehet alkalmazni, amikor maradt még fog a szájüregben. Ezekhez a fogakhoz rögzítjük a pótlást különböző módokon, az adott helyzetnek leginkább megfelelően. Stabilitásuk általában jobb, mint a teljes pótlás esetén.
- Teljes fogpótlás (protézis)
Parodontológia
A fogakat körbevevő íny, a gyökereket borító cement, az ezekhez kapcsolódó rostok és az ezt körülölelő csont állapotával, illetve esetleges megbetegedéseivel foglalkozunk a parodontológiai kezelések közben. A szájhigiéniás szokásaink általában nem kifogástalanok. A napjainkban elérhető szájápolási technikák és eszközök széles tárháza sajnos a nagy tömegek előtt nem ismert. Szinte népbetegség az ínygyulladás, -sorvadás,- vérzés; a fogak életkorhoz képest korai elvesztése, a pótlások nem megfelelő tisztántartása! Számos szájüregi eltérés, ami később akár komolyabb problémához is vezethet, nem kerül időben ellátásra. Ezek a problémák indokolják a fogászat ezen részének hangsúlyosabb megjelenését.
- Fogkőeltávolítás-polírozás
A fogak, pótlások, fogszabályzók, fogékszerek, stb. felületén a szájban rendszeresen képződik lepedék. Ha rendszeresen nem tudjuk eltávolítani teljes mértékben, a nyálban lévő calcium segítségével fogkő képződhet. Színe nagymértékben függ a szájüregbe kerülő ételekben, folyadékokban, dohányfüstben lévő pigmentektől. Mivel felszíne egyenetlen, így segíti az újabb lepedék rétegek képződését, amivel jó szaporodási feltételeket biztosít a különböző baktériumok számára. Lehetőleg minél gyakrabban érdemes eltávolítani. Korszerű ultrahangos eszközeinkkel tudjuk ezt megtenni, amely kezelés végén a fogfelszíneket felpolírozzuk, mert a tökéletesen sima felszínt könnyebb tisztán tartani. - Tasakkezelés
A foggyökér körülötti csont pusztulása esetén keletkezik a gyökér és az íny között egy, a természetesnél mélyebb rés. Ebben a baktériumok ideális szaporodó helye alakul ki, ami tovább súlyosbítja a helyzetet. A tasakok íny és fog oldali falát is tisztítjuk, illetve gyulladáscsökkentő szerekkel öblítjük, ezek segítségével csökkentjük a baktériumok számát. A kezelések eredményeképpen a csont további pusztulását tudjuk megállítani. - Parodontológiai műtétek (ínyplasztikák)
A nem megfelelő helyen és mennyiségben lévő lágyrészek a szájüregben számos problémát okozhatnak. Ha a higiénia nem oldható meg másképp, akkor a fog körüli lágyrészeket alakítjuk olyanná, hogy a tisztán tarthatóság megoldható legyen. - Szájhigiénia oktatás
Rendszeresen tapasztalom, hogy az általánosan elterjedt fogmosási szokások ritkán adnak tökéletes eredményt. A fogkefe használata önmagában nem nyújt megnyugtató eredményt még akkor sem, ha ismerjük annak helyes technikáját. Fogközeink, esetleges pótlásaink, fogszabályzóink, fogékszereink külön figyelmet követelnek meg tőlünk. Ha ezt is figyelembe vesszük, nem elégedhetünk meg a szokásos „fogkefe és semmi más” gyakorlattal. Mivel -jobb esetben- több fogunk van, ezért azok között mindig van egy-egy fogköz. A fogkefe sörtéje nem fér hozzá kellőképpen ezekhez a területekhez, ezért az itt minden nap keletkezett lepedéket nem tudjuk tökéletesen eltávolítani vele. Erre a problémára kiváló eszköz lehet a fogselyem, vagy az egycsomós fogkefe. Fix hídpótlás esetén az egyes koronákat összekötő részek és az íny között szintén olyan, a fogkefe számára elérhetetlen területek vannak, ahol a lepedék képződéséhez ideális feltételek adottak. Ide azt a speciális fogselymet ajánljuk, (superfloss), aminek segítségével elérhetővé válik a híd összekötő része alatti terület, így könnyedén eltávolítható innen is a lepedék. Fogszabályzót viselőknek is léteznek olyan speciális (egycsomós) kefék, melyek segítségével a fogfelszínre ragasztott technikai eszközöket is meg lehet takarítani. Minden hozzánk betérőnek külön személyre szabott oktatást tartunk ezekről a speciális eszközökről, illetve használatukról, természetesen a tökéletes fogkefe használat bemutatása mellett. Segítünk megtalálni az egyénnek tökéletesen megfelelő eszközöket és fogásokat.
Gyermekfogászat
A gyermek akkor érzi magát biztonságban, ha tudja, mi történik körülötte. Ezért mi arra törekszünk, hogy mindent megértessünk a nálunk kezelt gyerekekkel, ezzel általában valamennyire meg is tudjuk őket nyugtatni. A kezelés előkészítési fázisa hosszabb lehet, mint egy felnőtt esetében, de általában megéri rászánni az időt. Nagyon elvetem a "fogjuk le, hadd sírjon, húzzuk ki gyorsan" szemléletet! A gyermekek egy ilyen élmény után akár egy életre elfordulhatnak a fogászattól. Az érzéstelenítéshez természetesen sokkal körültekintőbben állunk hozzá. Mindig a helyzetnek legmegfelelőbb eljárásokat választjuk pl. Lidokain zselé, a &quit;szuri&quit; előtt, hogy a lehető legkisebb traumát okozzuk. Az egész folyamat során a szülő-gyermek-orvos szoros együttműködése az egyik legmeghatározóbb szempont.
- Szuvas fogak ellátása
Gyermekkorban a szuvas tej és maradó fogak ellátása ugyanolyan fontos, mint felnőtteknél. Sokszor halljuk azt a téves hozzáállást, hogy a tejfog úgyis kiesik, ezért nem kell betömni, ha elromlik. Ez súlyos tévedés! A tejfogak betegsége akár súlyosabb következményekkel is járhat, mint a maradóké. Amellett, hogy ugyanúgy fájdalmat okoz, elhalása esetén góc lehet, tályog alakulhat ki, stb., még a későbbi maradó fogak állapotát is ronthatja. A korona roncsolódása után visszamaradt gyökér a helyfenntartó szerepet nem tudja betölteni, ezért maradó párja nem tud normális helyen előbújni, ami akár az egész fogív szabályosságát is tönkreteheti. Maradó párja zománc fejődésében is zavarokat okozhat egyes esetekben. A szájüregben már bennlévő többi fog szuvasodását elősegítheti a patogén baktériumok nagy száma miatt. Ezen okok miatt mindig javasolt a szuvas tejfogak tökéletes ellátása! A töméseket speciális üvegionomer tömőanyagokkal végezzük. - Traumás fogak ellátása
Rendszeresen látunk el sérülés miatti problémákat. Ilyenkor az ijedtség a kicsikben még a szuvas eseteknél is nagyobb. A traumán átesett fog és környezete sokkal érzékenyebb és a zaklatott állapot is nehezíti a kezelést. Első feladatunk a szülővel közösen felállítani a kezelési stratégiát, mialatt a szülő is valamennyire visszanyerheti higgadtságát. Azért fontos ez, mert a szülők szorongását, zaklatott lelkiállapotát a gyermekek hihetetlenül jól megérzik, hiába is próbálják palástolni. Ha megvan a közös hullámhossz a szülővel, az meglepően pozitív hatást vált ki a gyermekből is. Ezt követően már nyugodtabb mederben folyhat a munka. - Fogszabályozásra előkészítés
Normál esetben csak tökéletes higiéniájú fogazattal lehet a fogszabályzást elkezdeni, hogy annak sikerességét segíteni tudjuk. Ezért csak a szuvasságtól, fogkőtől, rossz helyzetben lévő bölcsességfogaktól, illetve fogágy-betegségtől mentes fogazat esetén szabad elindulni. Sokszor ez nincs teljesen letisztázódva az emberekben, emiatt gyakran előfordul, hogy nem a legideálisabb a fogszabályzóra váró páciensek helyzete. Csak akkor javasoljuk a kezelés megkezdését, ha az előbb említett problémák megoldódtak. - Szájhigiénia oktatás
Nem lehet elég korán elkezdeni a száj rendben tartásának fontosságát elmagyarázni. Gyermekeknél gyakran a szülő nem követi elég alaposan a tisztítási, étkezési szokásokat. Nem elég gyermekünkre rászólni, hogy mosson fogat, ezzel nem intézhetjük el a dolgot. A gyerekek kézügyessége még nem olyan fejlett, mint a felnőtteké, ezért gyakori probléma a nem kellően tisztán tartott fogazat azokban az esetekben is, miközben a szülő azt gondolja, minden rendben van. Javasoljuk ezért mindig a közös fogtisztítást, szülői segédlettel. Erre a szülőt is és a gyermeket is megtanítjuk: a kellően alapos fogmosási technikákat, a fogselyem mindennapos és helyes használatát, a tisztaság rendszeres ellenőrzését. Kitérünk a rossz táplálkozási szokások miatti veszélyekre is, amit elsősorban a gyermekekkel próbálunk megértetni.
